
As parents, one of our top priorities is ensuring our kids grow up with healthy, strong teeth—and a beautiful smile to boot! But did you know that there are three common issues silently damaging your child’s teeth? The worst part? These problems often go unnoticed until it’s too late, leading to expensive treatments and lots of discomfort.
I’m Dr. J, an orthodontic specialist based in DFW, TX, and today, I’m going to break down these issues, what causes them, and how you can protect your child’s teeth before things get out of hand. Stick with me, and I’ll also share a breakthrough treatment that could fix these problems faster, more affordably, and with WAY less pain than traditional methods.
1. The Deep Bite: When Your Child’s Teeth Don’t Line Up Right
One of the most common problems I see is a deep bite.

This is a vertical issue where the upper teeth overlap the lower teeth so much that you can’t even see the bottom teeth.

Sounds concerning, right? Let’s break it down.
What causes a deep bite?
- Genetics: A smaller lower jaw or crowded lower teeth can lead to a deep bite.
- Environment: Habits like teeth grinding or jaw injuries can contribute to this issue.
- Habits: Things like prolonged pacifier use or thumb sucking can also be the culprit.

Why should you worry? If a deep bite goes unaddressed, the teeth don’t meet properly. This misalignment can cause severe wear and tear on the teeth over time, eventually leading to tooth breakage and even tooth loss. I’ve treated many adults who came in with worn-down teeth due to untreated deep bites.
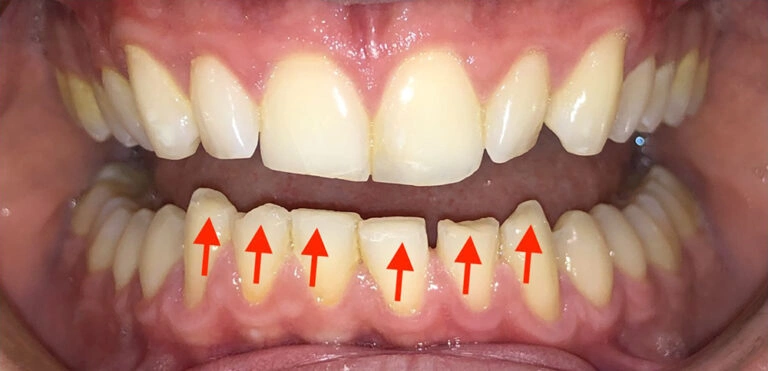
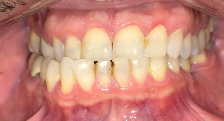
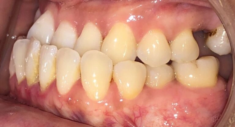
Here’s a visual example of what this looks like:
Patient Example #1: Notice how the teeth are significantly worn down and chipped due to long-term misalignment.

Patient Example #2: A more severe case where untreated deep bites led to significant tooth wear and difficulty chewing.


2. The Underbite: When the Upper Teeth Are Behind the Lower Teeth
Another common issue is an underbite. This is a horizontal problem where the lower teeth are pushed out past the upper teeth.

It can lead to functional problems and damage if not addressed early.
What causes an underbite?
Genetics: A larger lower jaw or a smaller upper jaw can be to blame.


Environment: Mouth breathing or an injury could affect how the teeth line up.
Habits: Things like tongue thrusting, thumb sucking, and pacifier use can cause or worsen an underbite.
What happens if an underbite is ignored? Much like a deep bite, an underbite prevents the teeth from touching correctly. This can lead to uneven wear, broken teeth, and more serious problems as your child grows older.
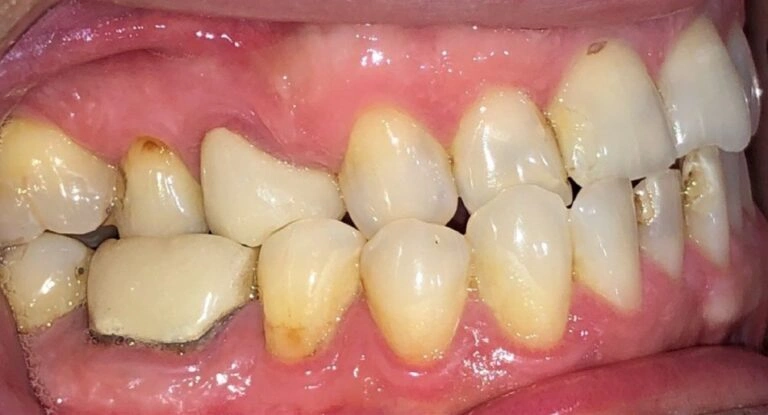
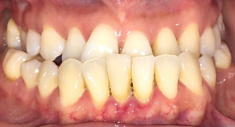
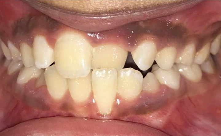
Visual Example:
Example #1 (young adult):


Example #2 (young adult):



3. Localized Gum Recession: When the Gums Aren’t Protecting the Teeth
The third issue parents need to be aware of is localized recession. This occurs when the gums and bone no longer cover the teeth properly, exposing the roots.

While this might seem like a minor concern, it can actually lead to sensitivity, pain, and even tooth loss.
What causes localized recession?
- Genetics: A bad bite or crowded teeth can increase the likelihood of gum recession.
- Environment: Poor oral hygiene, lip or tongue piercings, and aging can all contribute.
- Habits: Teeth grinding and clenching, or thumb sucking, can also lead to recession.
Why is this a big deal? When the gums recede, the exposed roots become more susceptible to decay and infection. It can also lead to increased tooth sensitivity, making it harder for your child to enjoy certain foods or drinks.
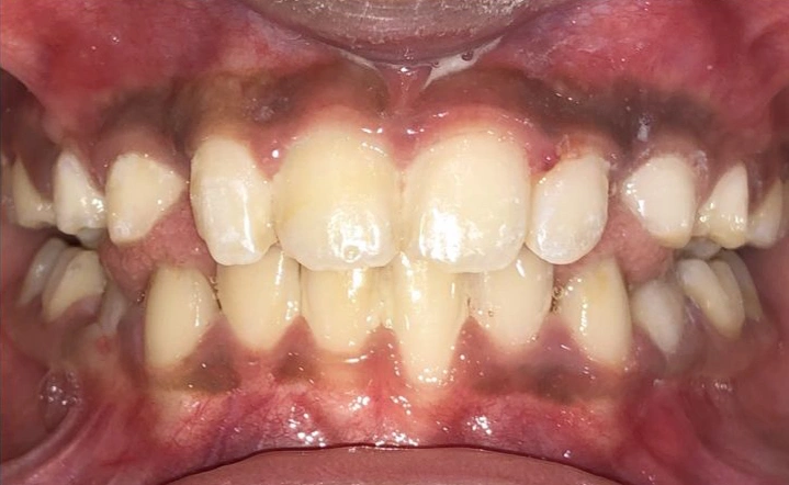
Visual Example:
Patient Example (young child)

Early Treatment Is Key: Why 6-9 Years Old Is the Sweet Spot
If you’re concerned about any of these issues, you’re not alone. As a parent, it’s easy to feel overwhelmed when it comes to your child’s health, but here’s the good news: you can prevent many of these problems if you catch them early.
I recommend taking your child to an orthodontist for an evaluation between the ages of 6 and 9. This is the “golden sweet spot” where the bones are still moldable, and your child has a mix of baby and adult teeth.

Early intervention can help guide jaw growth, widen the palate, and correct misalignments before they become permanent problems. Don’t wait until your child is a teenager to address these issues! By the time all the adult teeth have come in, it becomes much harder (and often more expensive) to make these adjustments without surgery. That’s why I always stress the importance of early treatment.
A New Solution: Invisalign First – The Breakthrough Treatment for Kids
Now, here’s the exciting part!
I struggled for years as an Orthodontist with these archaic methods. Why? Because I knew of the importance of interceptive treatment between ages 6-9 but the discomfort and failure rate were so high! That’s why I have been so blessed with this new method and it’s my mission to share with you – the parents. In the past, treating issues like deep bites, underbites, and localized recession involved some pretty intense methods—like metal expanders, headgear, and braces.

These treatments were often uncomfortable, required emergency visits, and took years to complete.
But now, there’s a much better solution: Invisalign First.

Invisalign First uses clear, removable aligners to gently guide your child’s teeth into place with minimal pain. Here’s why it’s a game-changer:
- Minimal force: Just 5-10 grams of force for virtually no pain.
- No breakages: Aligners are replaced weekly, so there are no emergency visits due to broken appliances.
- No diet restrictions: Aligners are removable, so your child can still eat all their favorite foods.
- Easy to clean: Aligners come out for brushing and flossing, making dental hygiene a breeze.
- Faster treatment: Many cases are completed in as little as 6 months!
I’ve used Invisalign First to correct the deep bite, underbite, and recession issues I showed you today, and the results have been incredible. For example:
Victoria’s deep bite was corrected in just 8 months instead of the usual 18 months with traditional methods.


Alexander’s underbite was fixed in 6.25 months, when it would have taken over 18 months with other treatments.


Tanisha’s localized recession was treated in just 6 months—half the time of traditional braces!


Invisalign First is backed by years of research and has been featured in major publications like the New York Times, US News & World Report, and Forbes.
Don’t Wait Until It’s Too Late
These three dental issues are serious, and waiting too long to fix them will only cause more pain, more expense, and more time spent in the dentist’s chair. Early treatment is the key to saving your child’s teeth and ensuring a healthy, confident smile for years to come.

If you’re concerned about your child’s teeth, don’t wait! Call us today to discuss early evaluation and treatment options. You’re not alone in this—you’re doing a great job, and with the right guidance, your child’s smile will be in great hands. Click below for a free consultation at Stellar Smiles Ortho with Dr. J.

Want to see and hear more?
For a more interactive experience, check out the live YouTube version of this blog, where we dive deeper into the topic and share expert insights. Watch the full video!
God bless you and your family, and remember: early intervention today means fewer problems tomorrow.
