Invisalign® First
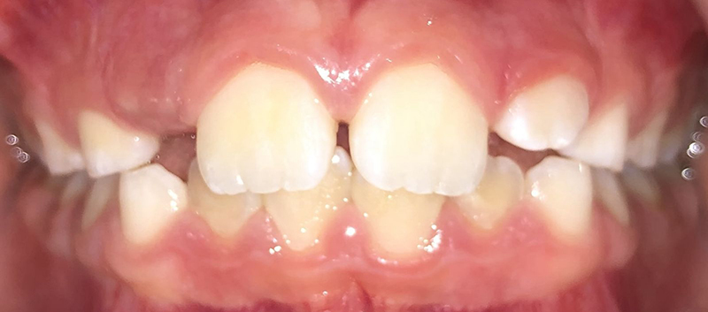
Actual Patient: Victoria

Before

After

Before

After
Severe crowding, Narrow Jaws, Severe Deep Bite
Front View
Top View
Right & Left Sides
Treatment Time: 8 months
Actual Patient: Leanna

Before

After

Before

After
Severe “Overbite”, BUCK TEETH, Narrow Jaws, Severe Deep Bite, Mouth breathing
Front View
Top View
Right & Left Sides
Treatment Time: 7.5 months
Actual Patient: Bailey

Before

After

Before

After
Severe “Overbite”, BUCK TEETH, Narrow Jaws, Severe Deep Bite
Front View
Top View
Right & Left Sides
Treatment Time: 7.5 months
Actual Patient: Alexander

Before

After

Before

After
Severe “Underbite”, Narrow Jaws, Adult Teeth Not Growing In
Front View
Top View
Right & Left Sides
Front View Results

0 Month

6 Month

11 Month
Side View Results

0 Month

6 Month

11 Month
Top View Results

0 Month

6 Month

11 Month
Bottom View Results

0 Month

6 Month

11 Month
Actual Patient: Kai

Before

After

Before

After
Severe Crowding, Traumatic Bite, Severe Deep Bite
Front View
Top View
Right & Left Sides
Actual Patient: Casen

Before

After

Before

After
Severe crowding, Severe Deep Bite with trauma, Narrow Jaws

Before

Before

After

After
Actual Patient: Samuel

Before

After

Before

After
Severe “Overbite”, BUCK TEETH, Narrow Jaws, Severe Deep Bite, Blocked out teeth
Front View
Top View
Right & Left Sides
Actual Patient: Akshaya

Before

After

Before

After
Severe crowding, big overbite, narrow jaws
Front View
Top View
Right & Left Sides
Actual Patient: Heath

Before

After

Before

After
Severe open bite, crowding, narrow upper jaw with cross-bite, blocked out teeth
Front View
Top View
Right & Left Sides
Actual Patient: Nusaybah

Before

After

Before

After
Severe crowding, narrow jaws, blocked teeth
Front View
Top View
Right & Left Sides
Actual Patient: Ellanor

Before

After

Before

After
Severe Buck Teeth, severe crowding, narrow jaws
Front View
Top View
Right & Left Sides
Actual Patient: Carlos

Before

After

Before

After
Severe crowding, narrow jaws, severe Deep Bite
Front View
Top View
Right & Left Sides
Actual Patient: Addilyn

Before

After

Before

After
Severe Crowing, Narrow Jaws, Open Bite, Mouth Breather
Front View
Top View
Right & Left Sides
Actual Patient: Arjun

Before

After

Before

After
Severe crowding, narrow jaws, deep bite
Actual Patient: IVY

Before

After

Before

After
Severe crowding, narrow jaws, severe overbite
Front View
Top View
Right & Left Sides
Actual Patient: Harper

Before

After

Before

After
Severe crowding, crossbite, narrow maxilla
Front View
Top View
Right & Left Sides
Actual Patient: Luke

Before

After

Before

After
Severe crowding, narrow jaws, severe overbite
Front View
Top View
Right & Left Sides
Actual Patient: Jackie

Before

After

Before

After
Diagnosis is: Narrow Jaws, Severe Crowding, overbite
Front View
Top View
Right & Left Sides
Actual Patient: Jameson

Before

After

After

After
Severe overbite, crowding, mouth breather
Stage 1 - Front View
Stage 1 -Top View
Stage 1 - Sides View
Stage 2 - Front View
Stage 2 -Top View
Stage 2 - Sides View
Actual Patient: Jeremiah

Before

After

Before

After
Severe Narrow jaws, midline is off, deep bite
Front View
Top View
Sides View
Actual Patient: Caleb

Before

After

Before

After
Severe Open bite, severe crowding, cross bites, narrow jaws
Front View
Top View
Sides View
Actual Patient: Bela

Before

After

Before

After
Severe crowding, narrow and distorted upper jaw
Front View
Top View
Sides View
Actual Patient: Chloe

Before

After

Before

After
Severe crowding, narrow jaws
Front View
Top View
Sides View
Actual Patient: Niralyaa

Before

After

Before

After
Severe crowing, cross bite, narrow jaws
Front View
Top View
Sides View
Actual Patient: Rebecca

Before

After

Before

After
Severe crowding, narrow jaws
Front View
Top View
Sides View
Actual Patient: T.V.

Before

After

Before

After
severe spacing and overbite
Front View
Top View
Sides View
Actual Patient: Harper

Before

After

Before

After
