
Why Waiting for Your Child’s Adult Teeth to Come In Might Cost More Than You Think.
As a parent, you want the best for your child, especially when it comes to their health. When it comes to their smile, many of us have heard the advice: “Wait until their adult teeth come in before seeing an orthodontist.” Sounds logical, right? Well, here’s why this outdated advice might end up costing you—and your child—more than you think.
Let’s dive in: why the wait-and-see approach is a mistake.
Hi, I’m Dr. J, an orthodontic specialist in DFW, TX, and I’ve been helping children and adults restore their smiles for over 25 years. I’ve seen firsthand how early orthodontic intervention can save kids from years of painful treatments—and potentially avoid more complex, costly procedures down the road. I firmly believe a pediatric orthodontist near you is the first step in your child’s smile journey.
I know that as a parent, you’re bombarded with a lot of advice, but here’s the truth: waiting for your child’s adult teeth to come in before seeking treatment could lead to tooth extractions, painful jaw surgery, and months—if not years—of complicated treatment. The best time to correct dental issues is actually between the ages of 6 to 9.

Why 6 to 9?
The short answer is that this age range is when your child’s jawbone is still flexible. Once all of the baby teeth fall out and the adult teeth start to emerge, the jawbone hardens, and making adjustments becomes a lot harder (and more painful). That’s why taking action early can prevent many of the problems that could come later on.
Let’s take a closer look at why early intervention is key.
Ignoring the Warning Signs: It Doesn’t Get Better on Its Own
If your child’s teeth are misaligned or showing signs of crowding, it’s crucial to address the issue early. Left untreated, these problems can worsen and require more drastic measures.
Take the example of Kiefer. His parents initially thought his deep bite would resolve on its own, but two years later, there was no change. This delay could have resulted in permanent teeth extractions or severe damage to his teeth later on.




Unfortunately, this isn’t a rare case. Let’s look at Adam, an adult, who waited too long. By the time he sought treatment, his teeth had been significantly damaged, looking like they had been through a weed-wacker! Early intervention could have spared him all of that.


Now, Devlen had a similar story. His parents also hoped his underbite would resolve on its own. After waiting a year with no change, the situation only got worse.


Here is an adult patient of mine who has an almost identical bite to Devlen. They tried to fix his bite and extracted teeth. That didn’t work so now he’s scheduled for corrective jaw surgery.


That could have been totally avoided with earlier intervention.
This is a hard truth I have to share with many parents who ask me, “Could we have done something sooner?” Sadly, in many cases, the answer is yes.
What Could Have Been Done?
Early treatment could have avoided the severe crowding and misalignment seen in Leilani’s case at age 13. But by that age, the window of opportunity had passed, and treatment options became much more difficult.


Imagine your child enduring 24 to 36 months of braces, expanders, possible surgery, and extractions. This is a long and painful journey that could have been avoided simply by addressing the issues between the ages of 6 to 9.

The issue is that many still recommend waiting, and I can’t figure out why. It’s almost like the old myth about not swimming right after eating—something that was likely passed down from well-meaning family members, but totally inaccurate.
In the same way, waiting on your child’s orthodontic care could lead to unnecessary pain, expense, and frustration.
The Solution: Invisalign First
Luckily, there’s a better way. In 2019, Invisalign First was introduced—an innovative solution for kids between the ages of 6 to 9. This treatment allows us to gently guide the growth of your child’s teeth and jaw using minimal force, avoiding more serious issues down the road.

I rarely use traditional methods like expanders or headgear anymore, because they come with several drawbacks:
- Pain: Braces are uncomfortable, and expanders are five times worse.
- Breakages: These treatments break easily, requiring emergency visits.
- Diet restrictions: Forget about eating chewy or hard foods.
- Poor hygiene: With food constantly getting stuck, keeping everything clean is a nightmare.
- Long treatment times: Up to 3 years of braces can be emotionally draining for kids and parents alike.
Instead, Invisalign First is transforming the orthodontic experience for kids:
- Gentle, minimal force – virtually no pain.
- No breakages – kids get new aligners every week.
- No food restrictions – they can eat what they want.
- Easy to clean – aligners are removable, so brushing and flossing are a breeze.
- Fast results – treatment can be completed in as little as 6 to 7 months.
- Fewer visits – a huge relief for busy families.
Let’s See How Invisalign First Works
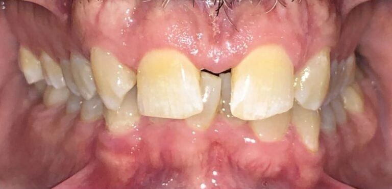
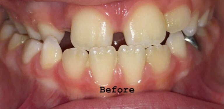
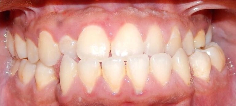
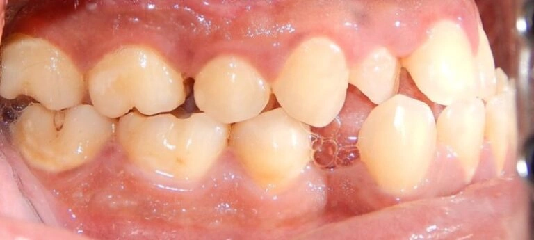
Take a look at Kai, who started Invisalign First treatment early for a deep bite. After just 6 months, his treatment was well on its way to success—far faster and less painful than traditional options.


The results speak for themselves!
Why Invisalign First is a Game-Changer for Kids
Invisalign First offers a solution that’s not only more comfortable but also more effective. The key benefits include:
- Gentle correction with minimal discomfort.
- No breakage—new aligners every week.
- Eat whatever they want—no food restrictions.
- Hygiene-friendly—aligners are removable, making oral care much easier.
- Fast treatment times, typically completed in just 6-7 months.
- Fewer visits—which means less disruption to your family’s busy schedule.
Ready to Learn More?
If you’re curious about how Invisalign First compares to traditional methods, I’ve put together a free comparison guide that breaks down the pros and cons of each treatment option. You can download it right now by clicking the link below!
Closing Thoughts
Don’t wait for your child’s teeth to “fix themselves.” Early intervention with Invisalign First can mean a quick, pain-free solution instead of years of complicated treatments. Remember, the sooner you act, the better the results will be for your child. Let’s get them on the path to a healthier, happier smile today! Book a free consultation with Dr. J at Stellar Smiles Ortho – the leading kids orthodontist near you: /lp/free-consult/
Want to see and hear more?
For a more interactive experience, check out the live YouTube version of this blog, where we dive deeper into the topic and share expert insights. Watch the full video!
FAITH:
Hey, I have a challenge for you, Look us Psalms 143:8
It really encouraged me today and I think it will encourage you to.
“Lord I don’t know where you’re going, but wherever you’re going – I am coming with you. Stay blessed!
