
Orthodontists straighten teeth. That’s their job, right? But what if I told you that the way we’ve been doing it for decades could actually cause bigger problems later on? Problems that have nothing to do with your smile… but everything to do with your health. I see it all the time—adults coming in, wondering why they’re dealing with issues they never expected. And when we trace it back… well, let’s just say that braces might not be as innocent as they seem.
Stick with me, because what I’m about to share could completely change the way you think about orthodontics.
II. The Unspoken Side Effects of Traditional Orthodontics
1. Straight Teeth at What Cost?
Look, I’m an orthodontist—I love straight teeth. But a beautiful smile shouldn’t come at the expense of your overall health. The problem? Traditional orthodontics has been laser-focused on alignment for decades, without always considering the long-term effects. And if you’ve ever had that feeling of ‘Wow, why does no one tell you this stuff?’—buckle up, because we’re about to go there.
2. When Braces Make the Mouth Smaller
Let’s say your kid’s mouth is like a crowded elevator—too many people, not enough room. Traditional orthodontics solves this by either:

- Expanding the elevator (great!)
- Or… pulling a few people out (not great).
That’s what happens when teeth are pulled to ‘make space.’ Sounds logical, right? But there’s a catch…. Instead of actually making the mouth bigger, extractions can reduce the space inside the mouth, which leads to some unexpected and not-so-fun side effects—ones that don’t show up until years later.
3. The Sleep Struggles You Never Saw Coming
You ever met someone who’s constantly tired? Like, they wake up exhausted, drink three cups of coffee just to function, and still feel like they need a nap?
Turns out, the way your teeth were straightened as a kid could be playing a role in that. Here’s why: when the mouth is made smaller, all the important stuff behind the teeth—like your tongue and soft palate—gets pushed back into the airway. And when that happens, breathing while you sleep becomes a struggle.

Maybe you snore, maybe you toss and turn all night, maybe you wake up feeling like you just fought a grizzly bear in your dreams. But the real reason? There’s not enough room for air to move freely, from outside, through your mouth, into your lungs. Almost like sipping air through a straw!
4. The Uncomfortable Truth About Adult Orthodontic Patients
Now, you might be thinking, ‘Okay, but I had braces years ago. Why would this be affecting me now? Great question. I see adults all the time who are struggling with these exact issues and never made the connection. They thought they were just unlucky, or aging, or stressed. But when we dig deeper, we find the same thing: their orthodontic treatment actually shrunk their mouth space, and now they’re paying the price.
5. The ‘Shaving Teeth’ Trick No One Talks About
Alright, let’s talk about something super weird that happens in orthodontics. Ever heard of Interproximal Reduction aka IPR? No? That’s because no one really talks about it! It’s when orthodontists shave down your teeth – to make them fit together better.

Sounds harmless, right? But what they don’t tell you is that by dramatically reducing tooth size, you’re also reducing space inside the mouth… and guess what that impacts? Yep. Your airway. It’s like buying a pair of jeans one size too small and just sucking in forever. Not too comfortable.
On the other hand, IPR is not entirely a “BAD” thing. Done carefully on specific teeth and conservatively you are safe. After studying the shape of the teeth, my max limit is 0.3mm space between teeth. There are exceptions for really funky shaped teeth, but for the most part 0.3mm is the limit in my book. I’ve seen IPR be totally overdone and the teeth look like blocks instead of that rounded natural-like shape.
6. Braces & Cavities: A Love Story No One Wants
Ever tried brushing around braces? It’s like playing Operation, but if you lose, you get cavities instead of a buzzing noise.

The brackets and wires trap food and plaque, making it way harder to clean your teeth properly. The result? Cavities, fillings, and eventually bigger dental issues down the road. So, if you ever wondered why people who had braces as kids end up needing crowns, root canals, or even implants later in life… well, mystery solved.
III. The Big Question: If Not Braces, Then What?
Alright, so now that you know the truth about traditional orthodontics, the big question is: what can you actually do about it? Because if you’re an adult thinking, ‘Well, great. My teeth are already straight. But now you’re telling me I might be paying for it in ways I didn’t even realize?’—you’re not alone. I see this all the time. And here’s the good news—just because your orthodontist may have shrunk your mouth back in the day doesn’t mean you’re stuck with it forever.
IV. How Adults Can Reverse the Damage
Expanding the Space, You’ve Lost
Remember earlier when I said some of my adult patients come in exhausted, struggling to breathe at night, feeling like their body’s just not working right? When we take a closer look, we usually find that their jaws are super narrow, bite is misaligned, and their tongue has nowhere to go, and their airway is way too small. And since we can’t exactly go back in time and tell their childhood orthodontist to do it differently, we have to fix it now.”
3 ways to expand in an adult today:
About 50 years ago, a great Orthodontist named Andy Haas from Cuyahoga Falls, Ohio, brought to the orthodontic world a contraption called the RPE – which stands for Rapid Palatal Expander. Genius! To this day the appliance is still called the Haas expander.

So, based on that concept today’s adults can widen their jaw (and their airway) with expanding the bone. But wait, didn’t you just say the bone is hardened in adults? Yes, so here it goes:
Option 1: SARPE (Stands for Surgically Assisted Rapid Palatal Expansion) – done under general anesthesia and they cut your upper jaw all the way across. Then crank the metal expander that’s glued in. On a pain scale 1-10 this is a 10.

Option 2: MARPE (Stands for mini-implant-assisted rapid palatal expansion). You need to get a special bone scan first to see if it’s possible to get these screws. Then they drill 4 screws into the palate. Then you get to crank that glued in expander daily for about 30 days. On a pain scale 1-10 this is a 9.

Option 3: This is a super controversial way to widen the palate in adults. So far everything is Rapid but this is called Slow Expansion. No surgery, no screws but it takes a long time, about 18 months, and the turns are done once per week. On a pain scale 1-10 this is a 7.
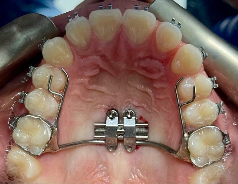
Take a look at Jazmin. She was 21 years old when I met her in the office with a super narrow upper jaw causing severe crowding and a cross-bite, making it super difficult for her to clean her teeth and just function normally.



We discussed surgery but we decided to take the long route, you know the controversial one! Yep, you guessed it, we did slow expansion. We used a fan expander that was glued in and turned once a week.

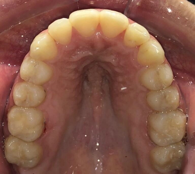
And it changed her life. No surgery, no extractions. Yes, it took us almost 2 years but it was so worth it. We were able to re-shape her upper palate.


Now that the teeth are not crowded keeping them clean is a breeze.


And a forever new smile.


The Priority: Airway & Function First, Aesthetics Second.
And look, I get it—straight teeth are great. But what good is a perfect smile if it comes at the expense of your sleep, your breathing, and your long-term health? That’s why we do things differently. With the right approach, we can reopen the space that was lost, fix the bite, and give your tongue room to sit where it belongs—instead of blocking your airway while you sleep.
V. How to Prevent These Issues Before They Start
Why Ages 6-9 is the ‘Golden Window’ for Jaw Development
Now, here’s where things get really interesting. If we know that a lack of space is the root cause of all these problems, the smartest thing we can do is prevent it from ever happening in the first place. And the best time to do that? Between the ages of 6 and 9.

Why? Because at this age, the jawbone is still developing. It’s moldable. We can guide its growth naturally, instead of trying to force corrections later on when the bones have already hardened.
The Problem with Waiting Too Long
Think of it like wet cement. When it’s still soft, you can shape it however you want. But once it hardens, any changes require chiseling —and that’s exactly why adult orthodontic treatment is more complicated.

By acting early, we can expand the mouth while it’s still growing, making sure there’s enough room for all the teeth and the tongue—so we never have to pull teeth, shave them down, or create a situation that leads to airway issues down the road.
VI. The Best Solution for Kids: Invisalign First
Why Invisalign First is a Game-Changer for Kids
So how do we actually do this? Well, instead of using those medieval metal expanders that get cranked open like a garage door every night (I’m not kidding, that’s real), we use Invisalign First—a system made specifically for kids in the 6-9 age range. And here’s why it’s amazing:
- No painful metal expanders – No cranking screws, no tears, no traumatized kids.
- It works in 3 dimensions at once – Unlike braces, which work in phases, Invisalign First corrects everything at the same time, cutting total treatment time in half.
- It’s virtually painless – No metal wires poking their cheeks, no brackets cutting their lips, no sore jaws from tightening.
- It’s removable – Which means they can actually brush their teeth—so no more cavities caused by braces making cleaning nearly impossible!

VII. The Bottom Line: Give Your Kid the Best Start Now
Fixing the Problem Before It Starts
Look, if you’re an adult reading this and realizing, ‘Wow, that explains a lot about my sleep, my jaw, or my overall health’—I get it. And the good news is, it can be fixed. But if your kid is between 6 and 9, we have an even better opportunity—to make sure they never have to deal with these issues at all.
A Once-in-a-Lifetime Opportunity
Here’s the deal—after age 9, the jaw starts to harden. The window to guide its growth naturally closes fast.

If you wait, fixing these problems gets harder, longer, and more expensive. But if you start now, we can do it quickly, painlessly, and with results that last a lifetime.
Want to see and hear more?
For a more interactive experience, check out the live YouTube version of this blog, where we dive deeper into the topic and share expert insights. Click the link below to watch the full video!
Don’t wait! Early Treatment to intercept these problems can mean the difference between a simple pain-free solution and years of complicated, costly and painful treatments later on.
FAITH
All this can cause a little anxiety. But, I want to encourage you with something that always brings me peace.
1 Peter 5:7
“Cast all your anxiety on Him because He cares for you.”
If you are humble, God wants you to cast all your cares upon him, he loves you that much!
If you are proud, God will resist you. We have free will – what will you choose?
