
As a parent, you want the best for your child’s health and well-being, and that includes their smile! If you’re considering orthodontic treatment for your child between the ages of 6-9, you’ve probably heard of expanders. But before you opt for this traditional treatment, let me share why it might not be the best choice for your child. I’ve been practicing orthodontics for over 25 years, and I’ve seen firsthand how Invisalign First can provide a more effective, comfortable, and less invasive solution.
What’s Wrong with Expanders?
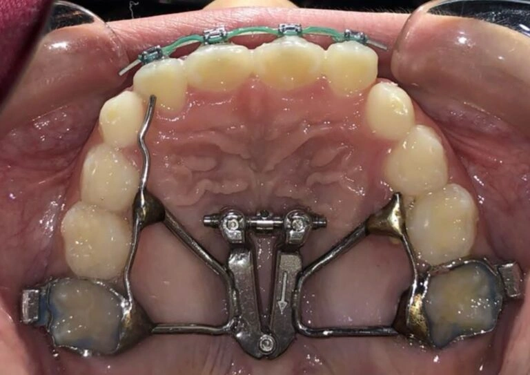
Let’s start by addressing the elephant in the room: expanders. While they’ve been a go-to solution for many years, they come with significant challenges that can be frustrating for both kids and parents. Here are the main issues I’ve encountered in my practice:

1. Hard to Keep Clean
Expanders, especially bonded ones, trap food and debris, making them difficult to clean. This can lead to buildup and even bad breath if not properly maintained.
2. Diet Restrictions
With expanders, your child will need to avoid sticky or hard foods that could damage the appliance. This can be a hassle and a source of frustration, especially for picky eaters.
3. Emergencies and Repairs
It’s not uncommon for an expander to become loose or break, requiring an emergency trip to the orthodontist for repairs. This can cause delays in the treatment process.

4. Pain and Discomfort
The process of expanding the jaw with an expander can be painful. Some children experience significant discomfort, which can be hard to manage.
5. Long Treatment Times
Expander treatment typically takes 12-18 months and sometimes even 24 months!
A Better Way: Invisalign First
Now, let’s talk about something much better: Invisalign First. This innovative treatment option is transforming how we treat kids with orthodontic needs. Here’s why it’s the future of early orthodontics:

- No Pain, No Struggle
Unlike expanders, Invisalign First uses a series of clear aligners to gradually move the teeth and widen the jaw, all without the pain and discomfort associated with traditional expanders. - Comfort and Convenience
These aligners are comfortable, easy to wear, and removable—meaning your child can eat whatever they want and brush and floss with ease. 

- Faster Results
With Invisalign First, the process takes far less time—often only 6-9 months—compared to the 12-18 months of traditional expander treatment. - A Clear, Confident Smile
The aligners are virtually invisible, which means your child can smile with confidence during treatment. 
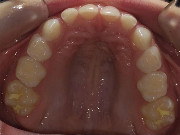
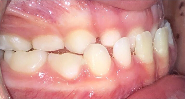
A Real-World Example: Alexander’s Story
Let me tell you about Alexander, a young patient of mine. His mother, Cassandra, was frustrated because Alexander’s teeth weren’t growing in properly, and his dentist had recommended a jaw surgery if they didn’t intervene.

When we first met, I could see Alexander was a little shy—he wore these oversized glasses and a bold Hawaiian shirt—but his mother’s concern was clear.

Alexander’s upper jaw was so narrow that it barely fit into his lower jaw, leaving no room for his adult teeth to emerge.


This would require significant treatment. But instead of resorting to the old way with expanders, I suggested we try something different: Invisalign First.

At first, Cassandra was skeptical—“Isn’t Invisalign for adults?” she asked. But after seeing the results and understanding how Invisalign First works, Cassandra was amazed. Not only did we eliminate all the typical problems with expanders, but Alexander’s smile improved significantly in a fraction of the time!

Why Early Intervention is Key
It’s important to start orthodontic treatment at the right time. For kids between the ages of 6-9, their jawbone is still flexible, making it the perfect time to correct alignment issues. Waiting too long can lead to more complex, painful, and expensive treatments later on.
Many parents mistakenly believe that their child’s teeth will improve on their own, but in reality, the longer you wait, the more likely you’ll need invasive and costly treatments down the line.

What You Can Do Right Now
If you’re noticing signs of dental issues in your child, such as crowded or misaligned teeth, don’t wait! Early intervention can save you time, money, and pain in the long run. Invisalign First is a fantastic alternative to traditional methods like expanders, and it can give your child a healthier, more confident smile in less time.
With Invisalign First, the results have been incredible. The best part? Invisalign First has yet to go mainstream, so you have the chance to give your child a cutting-edge treatment before it becomes the norm!
To help you identify potential orthodontic issues early on, I’ve put together a FREE guide outlining the 13 most common problems I see and how to avoid them. The longer you wait, the more difficult—and expensive—the fix may be, so be proactive and download the guide today.
In Conclusion
When it comes to your child’s orthodontic care, there’s no need to settle for outdated treatments like expanders. With Invisalign First, you can ensure your child’s teeth and jaw develop properly without the pain, frustration, and long treatment times of traditional methods.
If you’re ready to give your child the best possible smile, it’s time to consider Invisalign First. Book a consultation with us today, and let’s get started on a better path to a brighter smile.
Want to see and hear more?
For a more interactive experience, check out the live YouTube version of this blog, where we dive deeper into the topic and share expert insights. Watch the full video!
