
As parents, we’ve all been there—your child’s baby teeth seem to be hanging on for dear life, and you’re left wondering: Is this normal? Should I be worried? If you’ve noticed your child’s baby teeth just don’t seem to want to fall out, you’re not alone!

Let’s dive into why this happens and when it might be time to consider orthodontic treatment.
First, let’s set the stage: Most kids start losing their baby teeth around age 6, and this process typically wraps up by the time they’re 12. One simple way to track things is by keeping an eye on your child’s four front teeth. They should start falling out between ages 6 and 7.5.

If you notice they’re not? That’s when it’s time to pay attention to what might be going on!
Why Are Baby Teeth Stubbornly Sticking Around?
There are several reasons why baby teeth might hang on a little longer than expected. Here are the most common culprits:
1. No Adult Tooth Yet
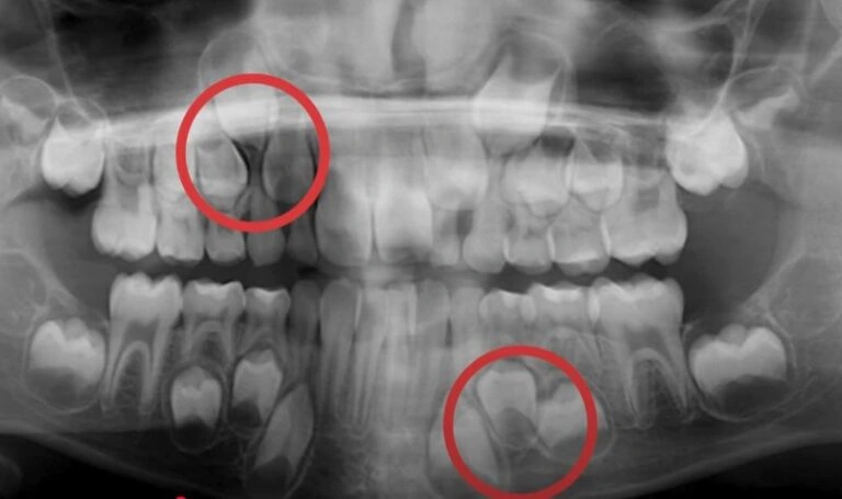
Sometimes, the adult tooth that’s supposed to push out the baby tooth just hasn’t formed yet or isn’t ready to come in. Occasionally, this delay is due to genetics, and some kids may experience late tooth eruptions. I’ve had cases where kids haven’t had their adult front teeth come in until they’re 10! (Like Luciano’s case below!)

While it’s rare, it’s good to keep in mind that patience might be the only solution.
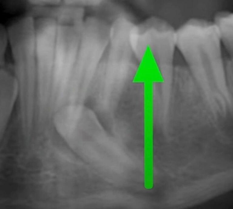
2. Stuck Roots
In some cases, the roots of the baby teeth don’t dissolve as they should, keeping them firmly in place. If the permanent tooth beneath isn’t growing in straight, it won’t apply enough pressure to push the baby tooth out. We often see this in kids with crooked or crowded teeth. A quick X-ray can tell us if this is the issue. See the case of Barret, a pediatric patient of mire below!


3. Crowding Issues
This is one of the most common reasons I see, and it’s something we should address early! If there isn’t enough space in your child’s mouth for their adult teeth to come in, the baby tooth can get stuck in place. As a result, the adult tooth might grow in behind or on top of the baby tooth, making things even more complicated.

When Should You See an Orthodontist?
Here’s where things get important! Did you know that a child’s jaw is still growing and moldable between ages 6-9? That means if there are issues with spacing or alignment, it’s actually the perfect time to address them!

The mistake many parents (and even dentists) make is thinking that it’s best to wait until all of the child’s adult teeth come in. But, here’s the catch: if you wait, the jaw hardens, and it becomes much harder, more painful, and expensive to fix those dental issues. The earlier we can intervene, the better!
What Are the Solutions?
Let me tell you an incredible story: Meet Alexander, a patient of mine who was facing serious tooth problems. None of his adult teeth were coming in! His mother, Cassandra, was understandably frustrated. A dentist had told her that Alexander would need jaw surgery if an orthodontist didn’t step in. But when she visited an orthodontist, they told her that without more adult teeth, they couldn’t treat him.


Cassandra, a surgical tech, knew surgery was not her first choice. So, she came to us for help. Turns out, Alexander’s jaw was so narrow that it was preventing his adult teeth from coming in properly. His upper jaw didn’t fit with his lower jaw, and there was no space for his teeth to grow in. This is a common issue we see in kids, and it’s directly related to crowded teeth.

If we didn’t widen his jaw, his adult teeth wouldn’t have room to come in. And, as you can imagine, we wanted to avoid a situation where we’d have to extract permanent teeth down the road.
What’s the Game-Changer? Invisalign First!
Now, here’s where it gets exciting: In 2019, a revolutionary treatment became available—Invisalign First—and let me tell you, it’s been a game-changer!

Invisalign First works wonders for kids who have a mix of baby and adult teeth. Unlike traditional methods that treat teeth in stages, Invisalign First works in three dimensions at once. This means it’s faster, more efficient, and WAY less painful for kids than conventional braces or palate expanders.
How does it work? Well, it’s a series of clear aligners that gradually shift the teeth into place, making it an excellent option for kids who are dealing with crowded teeth or a narrow jaw. Best of all, it cuts down treatment time significantly—what might’ve taken 12-18 months with traditional methods can be done in as little as 6-7 months with Invisalign First!
With Invisalign First, the results have been amazing. Just take a look at Alexander’s transformation! His adult teeth practically flew into place once his jaw had the space it needed.




Is Invisalign First Right for Your Child?
If you’re looking for a pain-free, effective solution for your child’s orthodontic needs, Invisalign First could be the perfect answer. It’s a faster, smarter solution that’s comfortable for your child and easier on your schedule. Plus, no more worrying about your child losing their braces rubber bands or dealing with painful, clunky expanders for kids!
If you’re curious about how Invisalign First works and how it compares to traditional braces, I’ve put together a free comparison guide just for you! You can check it out:
And, if you’re wondering what to do if your child does lose an Invisalign tray, I’ve got you covered! Head over to my next blog post where I answer that question in detail.
Let’s make sure your child’s smile journey is as easy and enjoyable as possible!

Closing Thoughts
We all want the best for our kids, and taking action early on their orthodontic needs can make a world of difference. Don’t wait for the adult teeth to just “figure it out.” The earlier you get help, the easier it will be to give your child a beautiful, healthy smile. It’s crucial to get treated during that window.

Want to see and hear more?
For a more interactive experience, check out the live YouTube version of this blog, where we dive deeper into the topic and share expert insights. Click the link below to watch my full video!
Got Questions? We’ve Got Answers
One of the most common questions I get is, “What happens if my child loses their aligners?” Don’t worry, we’ve got a solution for that. I’ve made a video that answers this question and several others—just click on the video below to learn more.
Faith
Are you worried in the morning for a difficult day coming up? Start off your day with thanksgiving and praise. Why? Because by nature that will energize you and make you realize how blessed and fortunate we all are. Our heavenly Father does not want us to worry – about anything.
