
As parents, we’re always looking out for our kids’ health—whether it’s ensuring they eat balanced meals, get enough sleep, or make it to their dentist appointments. But there’s one thing that might not always be on our radar: gum recession.

You might be thinking, “Wait, what is that?” If your child has been dealing with gum recession, it’s time to take notice, because this is something you can’t afford to ignore.
I’m Dr. J, an orthodontist with over 25 years of experience helping kids and parents get that STELLAR Smile. I’m passionate about fixing teeth because I know that a beautiful functional smile is so much more than only looking good. It affects a person’s entire life. I love helping people because it’s directly tied to my faith in Jesus Christ.
Now, I will share with you the crucial facts every parent needs to know about gum recession—and how to fix it before it becomes a bigger problem.
What is Gum Recession and Why Should You Care?
Gum recession is when the gum tissue around your child’s teeth pulls back, exposing more of the tooth or even the tooth’s root.

This isn’t just a cosmetic issue—it can lead to sensitivity and, eventually, tooth loss. Yikes, right? But here’s the thing: gum recession is fixable!
Here’s how it happens:
1. Genetics
Some kids just have a bad bite or crowded teeth that increase their chances of gum recession.
2. Environmental factors
Poor oral health habits, things like lip or tongue piercings, or even just aging can contribute.

3. Habits
Things like grinding teeth, clenching, or even thumb sucking can wear down the gum line over time.
Why Is Gum Recession Dangerous for Your Child?
While gum recession might not seem like a big deal at first, it can lead to some serious consequences if left untreated. First, it can cause tooth sensitivity, making it hard for your child to enjoy hot or cold foods and drinks. More importantly, if the root of the tooth becomes exposed, it can eventually lead to tooth loss.
What Does Gum Recession Look Like?
Sometimes, gum recession is hard to spot, especially if you’re not familiar with the signs. But if you notice your child’s teeth looking longer than usual, or their gums appearing thinner, it’s worth scheduling a visit to the dentist.
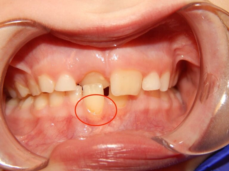
Here’s an example from my practice:
Patient Example #1 –
A 7.5-year-old child with mild gum recession because of a bad bite. If not treated this will lead to more gum recession.

Patient Example #2 –
A 6.5-year-old child with gum recession and bone loss – again because of a bad bite. AND the permanent tooth is “wiggly” because of that bad bite – not a good thing.


Patient Example #3 –
A 15-year-old kid whose gum recession was so advanced, they needed a gum graft to fix it; this is a case of too late. A gum graft means surgery; an NO surgery is fun. It will be quite painful.

How Can You Fix Gum Recession Quickly?
The good news is that if your child is between 6-9 years old and is experiencing gum recession, it can be fixed fairly quickly!

In the past, orthodontic treatment takes 12-18 months with traditional braces, expanders and other metal appliances. But today, thanks to Invisalign First, this issue can often be corrected in just 6-7 months!

What is Invisalign First? It’s a version of Invisalign designed for younger kids with a mix of baby and adult teeth. This new approach is a game changer, allowing orthodontists to align your child’s teeth while also helping with gum recession at the same time. I struggled for years as an Orthodontist with archaic methods. Why? Because I knew of the importance of interceptive treatment between ages 6-9 but the discomfort and failure rate were so high! That’s why I have been so blessed with this new method and it’s my mission to share with you – the parents.
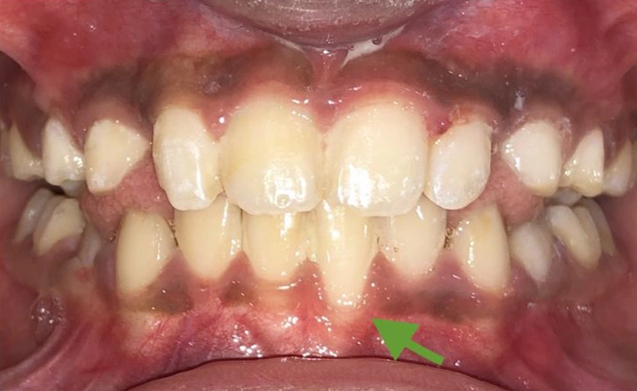
Real-Life Success Story: Tanisha
My awesome patient, Tanisha, is a great example of how Invisalign First is changing kids’ lives. Tanisha came in with a noticeable gum recession, and after just SIX months of treatment with Invisalign, her gums and teeth looked dramatically better and we saved that tooth.
Check out her before and after photos:

Before: Noticeable gum recession and a crooked bite.

After: A more balanced smile and healthier gums, all within SIX months!
It’s so exciting to see how quickly things can improve with the right treatment, avoiding any surprises later on down the road.
I put together a FREE comparison guide that breaks down exactly how Invisalign First stacks up against traditional braces. Just click on the link below:
Don’t wait! Early Treatment to intercept these problems can mean the difference between a simple pain-free solution and years of complicated, costly and painful treatments later on.
How to Prevent Gum Recession in the Future?
The best way to protect your child from gum recession is to catch it early and address it before it becomes a bigger issue. Regular dental visits are key, along with teaching your child good oral hygiene habits—like brushing twice a day, flossing, and avoiding excessive thumb sucking or teeth grinding.
If you notice any signs of gum recession, don’t wait! The sooner you act, the easier it will be to correct. And most importantly – go see your Orthodontist for your child at age SIX. You don’t need a referral from your Dentist.
Wrapping It Up
Gum recession might sound like something that only happens to adults, but it happens to kids, too. The good news is that with early intervention and the right treatment, it can be stopped in its tracks.
If you’re concerned about your child’s gum health or think they might be showing signs of gum recession, it’s time to schedule a consultation with your orthodontist. Treatments like Invisalign First can work wonders, helping to protect your child’s smile for years to come.
And remember, a healthy smile is about more than just looks—it can boost your child’s confidence and overall well-being, too. So, keep an eye out for those gums, and don’t hesitate to reach out to your orthodontist if you have any questions!
If you found this blog helpful, make sure to share it with other parents who might need this info. And, as always, send us your questions. I’d love to hear from you!
So, if you’re ready to start your child’s journey toward a better smile, click the link in the description to schedule a free consultation with me.
Let’s make sure your child’s smile is on the right track—and do it with as little stress as possible

Want to see and hear more?
For a more interactive experience, check out the live YouTube version of this blog, where we dive deeper into the topic and share expert insights. Watch the full video!
